Dentiste Charleville Mézières 08000 - Docteur Olivier Dalmen
Implantologie - Parodontologie - Esthétique dentaire
48 rue Voltaire, 08000 Charleville-Mézières
+0324572555
Dentiste Charleville Mézières 08000 - Docteur Olivier Dalmen
Implantologie - Parodontologie - Esthétique dentaire

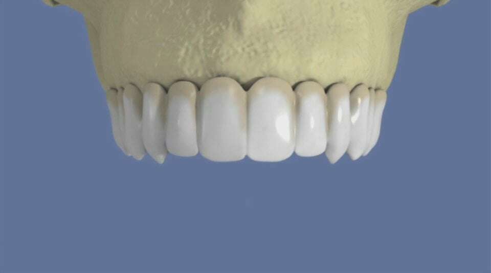
Maxillaire : bridge vissé sans fausse gencive


video-play-icon

Articles similaires

Création par Webdentiste

Connexion